Erfolgsgeschichten
Jede Behandlung erzählt ihre eigene Geschichte.
Hier zeigen wir reale Patientenfälle aus unserer Praxis – nachvollziehbar, transparent und medizinisch fundiert.
Entdecken Sie, wie moderne Zahnmedizin Funktion, Ästhetik und Lebensqualität nachhaltig verbessern kann.

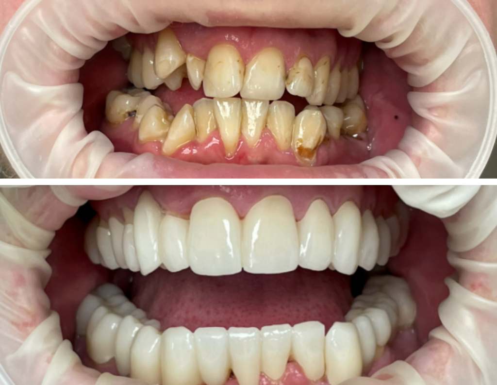
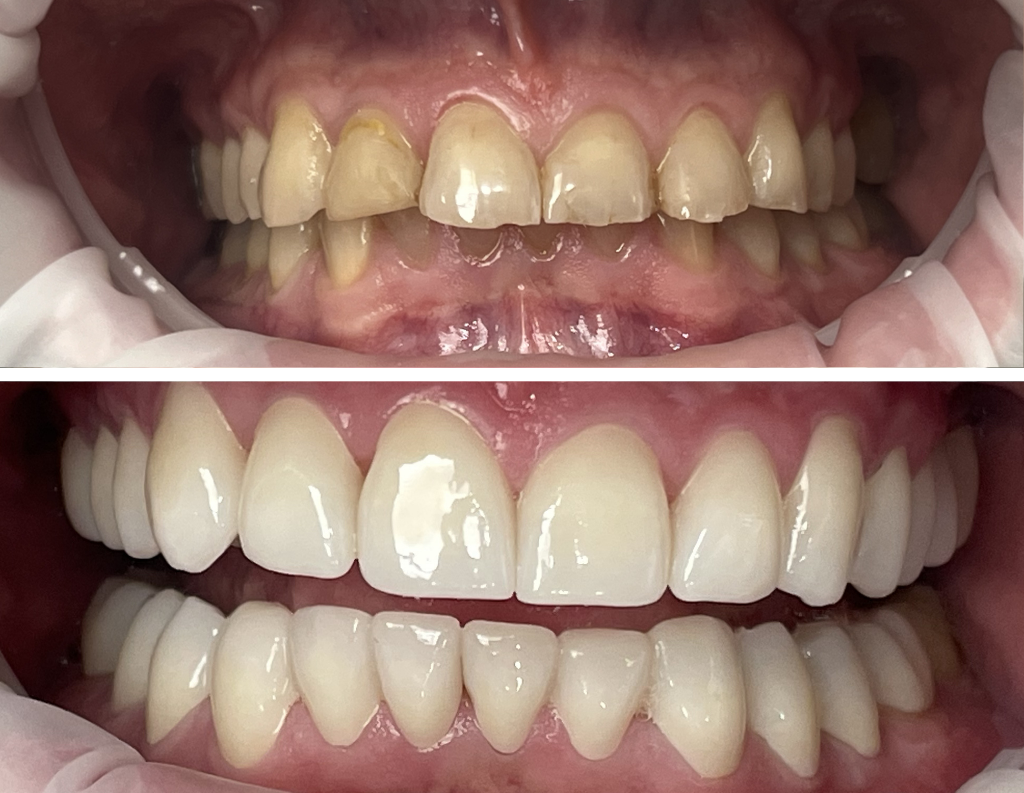
Komplettsanierung mit Prettau Zirkon-Kronen -Fallstudie einer jungen Patientin
Eine junge Patientin suchte unsere Praxis mit starkem Leidensdruck undkomplexen dentalen Problemen auf. Neben kariösen Defekten mussten aufgrund fortgeschrittener Zerstörung leider auch Zähne entfernt werden. Besonders kritisch war der einseitige Verlust der Kaufunktion (Okklusion), was sowohl ästhetische als auch funktionale Beschwerden verursachte.
Die Behandlung:
Unser Expertenteam entschied sich für eine umfassende Rekonstruktion. Nach der Präparation der Pfeilerzähne wurden 26 hochwertige Prettau ZirkonKronen eingesetzt. Ziel war die Wiederherstellung der Bissstabilität, der vollen Funktionalität und einer natürlichen Ästhetik.
Das Ergebnis ist ein harmonisches, strahlendes Gebiss, das der Patientin ihr Selbstvertrauen zurückgegeben hat.
Am Ende der Behandlung betonte sie:
„Sie haben mein Leben verändert!“
Zusammenfassung der Highlights:
Indikation: Zahnverlust, Karies, fehlende Kaufunktion.
Lösung: 26 Prettau Zirkon-Kronen.
Ergebnis: Funktionelle Stabilität und ästhetische Perfektion

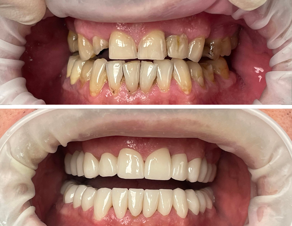
Prettau Zirkon-Vollbrücken als Implantat-Alternative – Fallstudie
Dieser Patientenfall zeigt, wie entscheidend eine präzise Diagnostik für die richtige Therapieentscheidung ist.
Die CT-Untersuchung ergab eine Entzündung an Zahn 24 sowie eine Lockerung von Zahn 37. Beide Zähne mussten entfernt werden.
Eine Implantatversorgung im rechten Oberkiefer wäre nur in Kombination mit einem Sinuslift möglich gewesen, was eine verlängerte Heilungsphase bedeutet hätte.
Da der Patient eine schnelle und dauerhafte Lösung suchte, entschieden wir uns für eine funktionell und ästhetisch hochwertige Alternative:
Prettau Zirkon-Vollbrücken im Bereich 17–27 und 37–47.
Diese Versorgung bietet:
✔ Hohe Stabilität
✔ Natürliche Ästhetik
✔ Biokompatibles Material
✔ Langfristige Prognose
Eine durchdachte Alternative zur Implantation – individuell geplant und medizinisch fundiert.
Leiden auch Sie unter Zahnverlust oder funktionellen Einschränkungen?
Lassen Sie Ihre Situation professionell analysiere

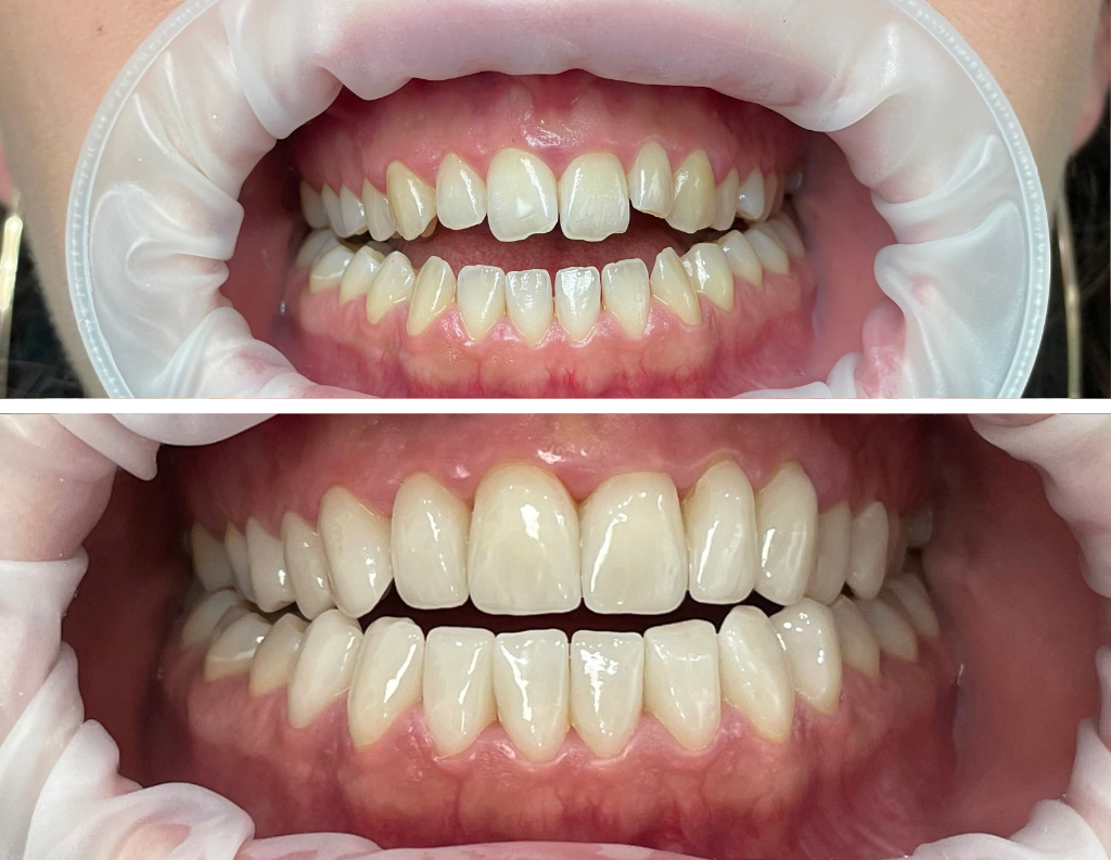
Lächelverjüngung mit kleinen Brücken – wenn Stabilität auf Ästhetik trifft
Dieser Fall zeigt eindrucksvoll, dass ein schönes Lächeln keine Frage des Alters ist.
Unsere Patientin wünschte sich ursprünglich Presskeramik-Veneers. Aufgrund einer leichten Lockerung der oberen Frontzähne empfahlen wir jedoch kleine Brücken, die zusätzlich eine Schienungsfunktion übernehmen und langfristige Stabilität gewährleisten.
Die Behandlung umfasste eine präzise Vorbereitung der Zähne, digitale Abformung sowie die exakte Anpassung der definitiven Versorgung. Der gewählte Farbton (B1) sorgt für ein natürliches, frisches und harmonisches Gesamtbild.
Das Ergebnis ist ein ästhetisch und funktionell überzeugendes Lächeln, das Selbstvertrauen und Komfort zurückgibt.
Leiden auch Sie unter ästhetischen Veränderungen Ihrer Zähne?
Lassen Sie Ihre Möglichkeiten professionell prüfen.

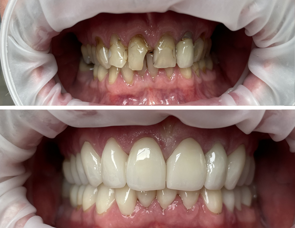
Komplette Lächelrekonstruktion mit Kronen und Brücken – wenn Veränderung Lebensqualität schafft
Dieser Fall zeigt eindrucksvoll, dass selbst stark geschädigte Zahnsituationen erfolgreich rekonstruiert werden können.
Unser Patient kam mit mehreren frakturierten Zähnen, ausgeprägter Zahnsteinbildung und eingeschränkter Mundhygiene zu uns.
Im Rahmen der Behandlung wurden nicht erhaltungswürdige Zähne entfernt und die Zahnsteinablagerungen vollständig beseitigt. Anschließend erfolgte die Präparation der Zähne im Ober- und Unterkiefer zur Versorgung mit Einzelkronen und Brücken.
Das Ergebnis ist ein harmonisches, ästhetisch und funktionell stabiles Gebiss, das Selbstvertrauen und Lebensqualität nachhaltig zurückgibt.
Leiden auch Sie unter Zahnverlust oder stark geschädigter Zahnsituation?
Lassen Sie Ihre Möglichkeiten professionell prüfen.

Ästhetische Behandlung eines offenen Bisses – Presskeramik-Veneers als Alternative zur Operation
Ein offener Biss kann für viele Patienten äußerst belastend sein. Neben der ästhetischen Beeinträchtigung führt er häufig zu Unsicherheit im sozialen Umfeld.
Auch wenn eine vollständige funktionelle Korrektur meist chirurgisch erfolgt, existieren ästhetische Lösungen, die das Erscheinungsbild deutlich verbessern – ohne operativen Eingriff.
In diesem Fall entschieden wir uns für Presskeramik-Veneers, die ein natürliches, harmonisches Lächeln ermöglichen. Die Behandlung zielte nicht auf eine medizinische Korrektur, sondern auf die Wiederherstellung von Selbstvertrauen und ästhetischer Balance.
Das Ergebnis: ein proportional abgestimmtes, natürlich wirkendes Lächeln mit deutlich verbesserter Ausstrahlung.
Leiden auch Sie unter einem offenen Biss?
Lassen Sie Ihre Möglichkeiten professionell prüfen.

Behandlung von Zahnhalsabrasionen mit Presskeramik-Veneers – schnelle und ästhetische Lösung
Zahnhalsabrasionen sind nicht nur ein ästhetisches Problem, sondern können auch zu deutlichem Verlust an Selbstvertrauen führen.
In diesem Fall waren die Zähne unseres Patienten gesund, jedoch durch Abnutzungen im Zahnhalsbereich optisch beeinträchtigt. Anstelle einer kieferorthopädischen Behandlung entschieden wir uns für eine minimalinvasive und ästhetische Lösung: Presskeramik-Veneers.
Diese korrigieren die sichtbaren Abnutzungen und sorgen für ein natürliches, harmonisches Erscheinungsbild – ohne langwierige Behandlungsdauer.
Das Ergebnis ist ein ästhetisch überzeugendes, selbstbewusstes Lächeln.
Leiden auch Sie unter Zahnhalsabrasionen oder ästhetischen Veränderungen?
Lassen Sie Ihre Möglichkeiten professionell prüfen.

Teleskopprothese – langlebige und ästhetische Lösung bei Zahnverlust
Dieser Fall zeigt, wie funktional und zugleich ästhetisch eine teleskopierende Versorgung sein kann.
Für unseren Patienten wurde sowohl im Ober- als auch im Unterkiefer eine Teleskopprothese geplant. Die Behandlung umfasste die Vorbereitung der Pfeilerzähne, das Einsetzen von Primärkronen, präzise Abformungen sowie die Herstellung der definitiven Versorgung.
Während des gesamten Prozesses wurde besonderer Wert auf Passgenauigkeit, Stabilität und ästhetische Harmonie gelegt.
Vorteile einer Teleskopprothese:
✔ Hohe Stabilität und Sicherheit
✔ Gute Hygienefähigkeit
✔ Natürliches Erscheinungsbild
✔ Langfristige Versorgungslösung
Leiden auch Sie unter Zahnverlust?
Lassen Sie Ihre Möglichkeiten individuell prüfen.

Prettau Zirkon-Kronen und -Brücken – kombinierte Lösung ohne Angst
Dieser Fall zeigt, dass Angst kein Hindernis für ein gesundes und schönes Lächeln sein muss.
Unser Patient litt unter stark abgenutzten Unterkieferzähnen und einem tiefen Biss. Aufgrund früherer negativer Erfahrungen entschied er sich für eine Behandlung unter Sedierung.
Auf den eigenen Zähnen wurden Prettau Zirkon-Kronen und -Brücken angefertigt:
Im Frontbereich Kronen für natürliche Ästhetik, im Seitenzahnbereich Brücken für funktionelle Stabilität und zum Ersatz fehlender Zähne.
Während der Behandlung wurde ein schmerzender Zahn wurzelbehandelt, wodurch langanhaltende Beschwerden dauerhaft beseitigt werden konnten.
Das Ergebnis ist eine stabile, ästhetische Versorgung mit hohem Tragekomfort – und ein Patient, der wieder unbeschwert lächeln kann.
Leiden auch Sie unter Zahnarztangst oder komplexen Zahnproblemen?
Lassen Sie sich individuell und einfühlsam beraten.
Nehmen Sie den Kontakt jetzt mit uns auf.
Unsere Kollegen werden alle Ihre Fragen beantworten
Kontaktieren Sie uns über die unten stehenden Kontaktdaten:
